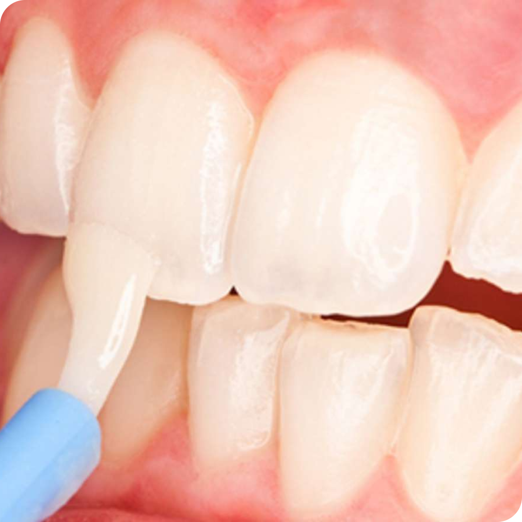
เป็นกระบวนการทางทันตกรรมที่มีประโยชน์ในการรักษาฟันแข็งแรงและป้องกันโรคที่เกี่ยวกับฟันอย่างมีประสิทธิภาพ กระบวนการนี้เกี่ยวข้องกับการใช้ฟลูออไรด์ที่มีความเข้มข้นสูงมาเคลือบบนผิวฟัน โดยการเคลือบนี้ทำให้ฟลูออไรด์สามารถซึมซับเข้าสู่ผิวฟันได้อย่างเต็มที่ และมีประสิทธิภาพในการป้องกันโรคที่เกี่ยวกับฟัน
ฟลูออไรด์เป็นสารที่มีประโยชน์ต่อสุขภาพของฟัน เนื่องจากมีความสามารถในการเสริมความแข็งแรงของฟัน และช่วยในการป้องกันโรคฟันผุ การใช้ฟลูออไรด์ในรูปแบบต่าง ๆ เช่น ยาสีฟัน น้ำยาบ้วนปาก และการเคลือบฟลูออไรด์ในคลินิกทันตกรรม เป็นทางเลือกที่มีประสิทธิภาพในการรักษาและป้องกันปัญหาเกี่ยวกับฟัน

ฟลูออไรด์เป็นสารที่มีประโยชน์มากมายต่อสุขภาพช่องปาก ซึ่งมีผลกระทบต่อโครงสร้างและความแข็งแรงของฟันอย่างมาก นอกจากนี้ยังมีบทบาทในการป้องกันโรคและปัญหาที่เกี่ยวกับฟันอีกด้วย ดังนี้
![]() | สารเคลือบฟันฟลูออไรด์ช่วยเสริมสารเคลือบฟันของฟันแท้ที่ขึ้นมาแล้วให้แข็งแรงขึ้น |
![]() | ฟลูออไรด์ช่วยในกระบวนการเติมแคลเซียมและฟอสฟอรัสที่ทำให้ฟันของเราแข็งแรงขึ้น |
| ฟลูออไรด์ช่วยเสริมโครงสร้างของฟันน้ำนมและฟันแท้ให้แข็งแรงขึ้น ทำให้ฟันมีความทนทานต่อการกัดกร่อนของกรดหรือเชื้อแบคทีเรียในช่องปากได้ดีขึ้น |
![]() | ยับยั้งการทำงานของแบคทีเรียฟลูออไรด์ช่วยลดการเจริญของแบคทีเรียในปากที่เป็นต้นเหตุของฟันผุ โดยลดความเสี่ยงในการเกิดโรคและปัญหาทางช่องปาก |
![]() | ฟลูออไรด์ช่วยในการป้องกันฟันผุโดยการเคลือบบริเวณฟันด้วยฟลูออไรด์ที่มีความเข้มข้นสูง ซึ่งจะช่วยเข้าไปสะสมในเนื้อฟันที่ผุเพื่อหยุดรอยผุของฟันได้ |

การเคลือบฟลูออไรด์มีประโยชน์มากมาย เช่น เสริมโครงสร้างและความแข็งแรงของฟัน ป้องกันฟันผุ และช่วยในการรักษาฟันผุ นอกจากนี้ยังมีประสิทธิภาพในทุกวัย โดยเด็กสามารถเคลือบฟลูออไรด์ได้ตั้งแต่อายุ 6 เดือน และการเคลือบนี้มักจะทำในคลินิกทันตกรรมโดยทันตแพทย์
![]() | คนที่มีความเสี่ยงต่ำ ควรเคลือบฟลูออไรด์อย่างน้อย 1 ครั้งต่อปี เพื่อรักษาความแข็งแรงของฟันและป้องกันฟันผุในระยะยาว |
![]() | คนที่มีความเสี่ยงปานกลาง ควรเคลือบฟลูออไรด์อย่างน้อย 6 เดือน / 1 ครั้ง เพื่อเพิ่มประสิทธิภาพในการป้องกันฟันผุ โดยเฉพาะในกรณีที่มีปัญหาฟันผุมาก |
| คนที่มีความเสี่ยงมาก ควรเคลือบฟลูออไรด์อย่างน้อย 3 เดือน / 1 ครั้ง เพื่อเพิ่มการป้องกันฟันผุอย่างมีประสิทธิภาพ และรักษาสุขภาพฟันให้มีความแข็งแรง |
Powered by Froala Editor
Powered by Froala Editor
Powered by Froala Editor
Powered by Froala Editor
Powered by Froala Editor
Powered by Froala Editor
Powered by Froala Editor
Powered by Froala Editor
Powered by Froala Editor
Powered by Froala Editor
Powered by Froala Editor