รากฟันเทียม (Dental Implant) เปรียบเสมือนวิวัฒนาการทางทันตกรรมที่ช่วยทดแทนการสูญเสียฟันธรรมชาติจากสาเหตุต่างๆ ไม่ว่าจะเป็นฟันผุ โรคเหงือก หรืออุบัติเหตุ โดยมีลักษณะเป็นโครงโลหะไทเทเนียมรูปร่างคล้ายรากฟัน ทำหน้าที่ฝังลงในกระดูกขากรรไกร เสมือนรากฟันจริง ทำให้สามารถใช้งานได้อย่างมีประสิทธิภาพใกล้เคียงกับฟันธรรมชาติ

1. รากเทียม (Screw) ทำจากโลหะไทเทเนียมมีความแข็งแรง ทนทาน เข้ากันได้ดีกับเนื้อเยื่อในช่องปาก
2. เดือยฟัน (Abutment) หรือเดือยรองรับครอบฟัน ทำหน้าที่เชื่อมต่อระหว่างรากเทียมกับครอบฟัน
3. ครอบฟัน (Crown) เป็นส่วนที่อยู่ด้านบนของเหงือก มองเห็นได้จากภายนอก ทำจากเซรามิกมีสีและรูปร่างเหมือนฟันธรรมชาติ
รากฟันเทียม มีทั้งหมดกี่ประเภท
การทำรากฟันเทียมเป็นวิธีการทดแทนฟันที่สูญเสียไปได้อย่างมีประสิทธิภาพและสามารถแบ่งออกได้เป็น 3 ประเภทหลักตามจำนวนรากฟันเทียมที่ใส่ในช่องปาก ได้แก่ การทำรากฟันเทียม 1 ซี่, การทำรากฟันเทียมหลายซี่, และการทำรากฟันเทียมทั้งปาก โดยแต่ละประเภทมีรายละเอียดดังนี้
1. การทดแทนฟัน 1 ซี่
เหมาะสำหรับผู้ที่สูญเสียฟันไปซี่เดียวใช้ระยะเวลาในการทำและการผ่าตัดที่สั้นกว่าการทำทันตกรรมรากฟันเทียมแบบอื่นๆ หลังการทำ ผู้ป่วยสามารถใช้งานฟันซี่นั้นได้เหมือนฟันจริง ทั้งการบดเคี้ยวอาหารและการออกเสียง การดูแลรักษาสามารถทำได้โดยง่าย เพียงแปรงฟันและใช้ไหมขัดฟันเช่นเดียวกับฟันธรรมชาติ การทำรากฟันเทียม 1 ซี่ ไม่จำเป็นต้องกรอฟันข้างเคียงเหมือนการทำสะพานฟันทำให้ฟันข้างเคียงยังคงอยู่ในสภาพสมบูรณ์
![]() | ![]() | ![]() |
2. การทดแทนฟันหลายซี่
เหมาะสำหรับผู้ที่สูญเสียฟันมากกว่า 1 ซี่ในหลายตำแหน่ง สามารถทำครอบฟันบนรากเทียมได้ โดยไม่ต้องอาศัยการยึดติดกับฟันข้างเคียง ช่วยรักษาฟันธรรมชาติที่เหลืออยู่ได้ ในกรณีที่สูญเสียฟันติดกัน 3 ซี่ สามารถใช้รากเทียม 2 ตัวที่ซี่แรกและซี่สุดท้าย โดยซี่กลางจะเป็นสะพานฟันบนครอบรากเทียม ช่วยลดจำนวนรากเทียมที่ต้องใช้ ผู้ป่วยสามารถกลับมาใช้ชีวิตได้ตามปกติ การใช้รากฟันเทียมหลายซี่ช่วยลดความจำเป็นในการใช้ฟันปลอมที่ต้องมีตะขอเกี่ยวกับฟันธรรมชาติ ทำให้ฟันธรรมชาติรับแรงน้อยลง
![]() | ![]() | ![]() |
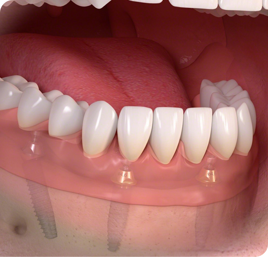
3. การทดแทนฟันทั้งปาก
เหมาะสำหรับผู้ที่สูญเสียฟันทั้งปาก ไม่ว่าจะเป็นขากรรไกรบนหรือล่าง การทำรากฟันเทียมทั้งปากคือทางเลือกที่ดีที่สุดในการทดแทนฟันธรรมชาติที่หายไป โดยทั่วไปมักใช้รากเทียม 4-8 ตัวต่อ 1 ขากรรไกร จำนวนรากฟันเทียมที่ใช้ขึ้นอยู่กับคุณภาพของกระดูกขากรรไกร โดยในกรณีที่กระดูกขากรรไกรมีความแข็งแรงดี จะสามารถใช้จำนวนรากเทียมที่น้อยลงได้ หากกระดูกขากรรไกรไม่ค่อยแข็งแรง จำเป็นต้องเพิ่มจำนวนรากเทียมให้มากขึ้น เพื่อเพิ่มความแข็งแรงและความมั่นคงของการยึดฟัน การทำรากฟันเทียมทั้งปากช่วยฟื้นฟูการใช้งานของฟันได้ดีเท่าเดิม และช่วยชะลอการละลายของกระดูกขากรรไกร ช่วยรักษารูปลักษณ์ใบหน้าให้เป็นปกติ
![]() | ![]() | ![]() |
![]() | การฝังรากฟันเทียมไม่ใช่กระบวนการที่ทุกคนสามารถทำได้ มีปัจจัยต่าง ๆ ที่ต้องพิจารณาเพื่อความปลอดภัยและความสำเร็จของการรักษา เหล่านั้นรวมถึง |
![]() | ปริมาณกระดูก ความพร้อมของกระดูกในการรองรับการปลูกรากฟันเทียมเป็นปัจจัยสำคัญเนื่องจากกระดูกที่เพียงพอจะช่วยให้การรักษามีความสำเร็จและปลอดภัยมากขึ้น |
![]() | สุขภาพร่างกายและสุขภาพช่องปากที่ดีมีความสำคัญสำหรับความสำเร็จของการทำรากฟันเทียม คนที่มีพฤติกรรมเสี่ยงหรือโรคประจำตัวอาจต้องได้รับการรักษาเสริมก่อนที่จะทำกระบวนการนี้ |
![]() | การทำรากฟันเทียมมักมีผลลัพธ์ที่ดีที่สุดเมื่อผ่านมาวัยที่ร่างกายเติบโตแล้ว การพัฒนากระดูกขากรรไกรเต็มที่จะช่วยให้กระบวนการฝังรากฟันเทียมมีความสำเร็จมากยิ่งขึ้น |
รากฟันเทียมมักมีอายุการใช้งานที่ยาวนาน เนื่องจากวัสดุที่ใช้ในการผลิตมักเป็นไทเทเนียมที่แข็งแรง และสามารถเข้ากับเนื้อเยื่อเหงือกได้อย่างดี โดยทั่วไปแล้วมีอายุการใช้งานประมาณ 10 - 20 ปีขึ้นไป และในบางกรณีที่ดูแลรักษาอย่างเหมาะสมโดยไม่มีการเกิดอาการอักเสบหรือปัญหาอื่น ๆ รากฟันเทียมสามารถใช้ได้ตลอดชีวิตได้ด้วย

![]() | มีอายุการใช้งานยาวนานกว่าฟันปลอมชนิดอื่นๆ | ![]() | ทำความสะอาดง่ายเหมือนฟันธรรมชาติ |
![]() | การบดเคี้ยวอาหารเหมือนฟันธรรมชาติ | ![]() | ช่วยสร้างความมั่นใจและเสริมบุคลิกภาพ |
![]() | การบดเคี้ยวอาหารเหมือนฟันธรรมชาติ | ![]() | คนที่มีปัญหาฟันซ้อนเกเล็กน้อย (ไม่อยากจัดฟัน) |

![]() | พิมพ์ปากเพื่อทำครอบฟัน ทำการออกแบบครอบฟันให้เข้ากับรูปหน้าและสีฟันธรรมชาติ |
![]() | ฝังรากฟันเทียม รอให้ร่างกายสมานแผลและรากเทียมยึดติดกับกระดูกประมาณ 2-4 เดือน |
![]() | ใส่ครอบฟัน ทันตแพทย์จะติดตั้งเดือยรองรับครอบฟันบนรากเทียม ใส่ครอบฟันบนเดือยรองรับ |
![]() | ติดตามผลการรักษา ทันตแพทย์จะนัดติดตามผลการรักษาเป็นประจำ เพื่อตรวจสอบสภาพรากเทียมและครอบฟัน |
![]() | ตรวจวางแผนการรักษา พิมพ์ปาก วิเคราะห์ และ x ray 2D 3D และ วางแผนการรักษา เช่น ตำแหน่งของรากเทียม ชนิดของรากเทียม และระยะเวลาในการรักษา |
Powered by Froala Editor
Powered by Froala Editor
Powered by Froala Editor
Powered by Froala Editor
Powered by Froala Editor
Powered by Froala Editor
Powered by Froala Editor
Powered by Froala Editor
Powered by Froala Editor
Powered by Froala Editor
Powered by Froala Editor
Powered by Froala Editor
Powered by Froala Editor
Powered by Froala Editor
Powered by Froala Editor
Powered by Froala Editor
Powered by Froala Editor
Powered by Froala Editor
Powered by Froala Editor
Powered by Froala Editor
Powered by Froala Editor
Powered by Froala Editor
Powered by Froala Editor
Powered by Froala Editor
Powered by Froala Editor
Powered by Froala Editor
Powered by Froala Editor
Powered by Froala Editor
Powered by Froala Editor
Powered by Froala Editor
Powered by Froala Editor
Powered by Froala Editor
Powered by Froala Editor
Powered by Froala Editor
Powered by Froala Editor
Powered by Froala Editor
Powered by Froala Editor
Powered by Froala Editor
Powered by Froala Editor
Powered by Froala Editor
Powered by Froala Editor
Powered by Froala Editor
Powered by Froala Editor
Powered by Froala Editor
Powered by Froala Editor